Skip to Content

Dental Crowns and Bridges in Kirkland, WA

Dental crowns and bridges at Manson & Chi Dentistry offer reliable, long-lasting solutions to restore damaged or missing teeth and bring back your confident smile.

  • Dental procedure cost at Manson & Chi Dentistry in Kirkland, WA

    Cost

    The costs of crowns and bridges can depend on the materials used and the complexity of the case, but we’ll review all financing options. Certain PPO plans can cover a set amount of your care, and you can save on restorative care with our wellness plan.

    Office Fees
  • Dental procedure duration at Manson & Chi Dentistry in Kirkland, WA

    Procedure Duration

    The process typically takes two visits: one for preparation and impressions and the other for fitting your custom crown or bridge. However, this will depend on your individual restorative needs.

    Schedule Online
  • Dental procedure pain levels at Manson & Chi Dentistry in Kirkland, WA

    Pain Level

    Since we utilize local anesthesia and have sedation options available, the procedure is usually painless and comfortable, with only mild sensitivity or discomfort afterward that resolves quickly.

    Sedation Dentistry

Dental Crowns and Bridges in Kirkland, WA

Dental crowns and bridges are custom restorations that rebuild strength, function and appearance for damaged or missing teeth—helping you smile with confidence again. A crown covers a weakened tooth for protection, while a bridge replaces one or more missing teeth using surrounding teeth for support. Both are crafted to blend in naturally, giving you a stronger, healthier smile.

Bioclear—Restore Your Teeth with Strength, Beauty and Precision

In addition to crowns and bridges, we offer Bioclear. Bioclear is a modern, minimally invasive dental technique that uses clear forms and heated composite resin. Unlike traditional fillings or crowns, Bioclear preserves more natural tooth structure and creates a seamless, long-lasting result.

Patients benefit from improved comfort, aesthetics and durability—often with fewer appointments and less drilling. It’s ideal for closing gaps, repairing chips and confidently rejuvenating smiles.

Before

Before dental crowns in Kirkland, WA, at Manson & Chi Dentistry

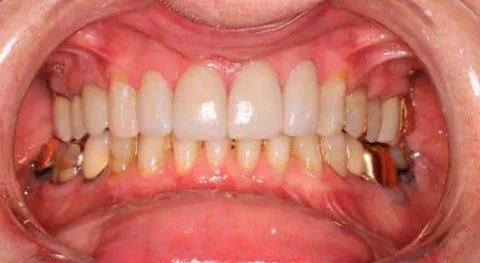
After

After dental crowns in Kirkland, WA, at Manson & Chi Dentistry

Before

Before anterior dental crowns in Kirkland, WA, at Manson & Chi Dentistry

After

After anterior dental crowns in Kirkland, WA, at Manson & Chi Dentistry

01.

The Dental Crown Process

The dental crown process is straightforward and will help restore the function and appearance of a damaged tooth. First, your dentist will examine and prepare the tooth, removing decay and shaping it to fit the crown. An impression is then taken to custom-craft your crown for a perfect fit. While your permanent crown is made, you’ll receive a temporary one to protect the area. The new crown is carefully placed and adjusted for comfort and bite alignment at your next visit. With gentle care and regular checkups, your new crown can offer long-lasting protection and a confident smile.

02.

The Dental Bridge Process

A dental bridge involves a few simple, well-planned steps. To start, we prepare the teeth on either side of the gap, which may include reshaping them slightly. Next, impressions are taken to create a custom bridge that fits comfortably and naturally. While your permanent bridge is being crafted, a temporary one is placed to protect your smile. Once ready, the bridge is carefully fitted and adjusted for bite and comfort. This process restores function and appearance, helping you chew, speak and smile confidently.

FAQ

  • How long do dental crowns last?

    A dental crown typically lasts between 10 and 15 years, but it can last even longer with excellent oral hygiene and ongoing checkups. Every smile is unique, so our team will guide you in maximizing your crown’s lifespan.

  • Will my crown or bridge look natural?

    Yes! Today’s crowns and bridges are crafted from high-quality, tooth-colored materials designed to blend seamlessly with your natural smile. With expert placement and modern techniques, they look and feel incredibly lifelike.

  • When do dental crowns need to be replaced?

    Dental crowns may need replacement if they become cracked, loose, discolored or show signs of decay at the edges. We’ll help catch these issues early, ensuring that your smile stays healthy and functional.

  • Are there any alternatives to dental crowns?

    In some instances, we may recommend Bioclear for closing gaps, repairing chipped or damaged teeth, and improving overall tooth shape. Bioclear provides natural aesthetics, preserves tooth structure, and delivers long-lasting, beautiful results. Bioclear is a modern, minimally invasive technique that restores teeth with strong, natural-looking results. Unlike traditional fillings or crowns, Bioclear uses a specialized matrix and composite material to rebuild damaged or discolored teeth.

Where are we located?

Front office of Manson & Chi Dentistry in Kirkland, WA

Manson & Chi Dentistry

9750 NE 120th Place, Suite 7
Kirkland, WA 98034

Hours

Monday-Wednesday: 8:00 a.m.-5:00 p.m.
Thursday-Friday: 7:00 a.m.-4:00 p.m.
Saturday-Sunday: Closed

Phones are answered 24/7 for scheduling.

Scheduling Hours

Monday: 24 hours
Tuesday: 24 hours
Wednesday: 24 hours
Thursday: 24 hours
Friday: 24 hours
Saturday: 24 hours
Sunday: 24 hours

Phone

425-823-1909

Email

office@mansonandchidentistry.com