Skip to Content

Teeth Whitening in Kirkland, WA

Reveal your brightest smile with gentle, effective teeth whitening at Manson & Chi Dentistry—tailored just for you.

  • Dental procedure cost at Manson & Chi Dentistry in Kirkland, WA

    Cost

    In-office teeth whitening typically costs $399 to $1,299, depending on your needs and aesthetic goals. Take-home whitening typically costs $399. Insurance typically doesn’t cover teeth whitening, but please review your plan details for confirmation. Our wellness plan can also help you save on cosmetic treatments.

    Office Fees
  • Dental procedure duration at Manson & Chi Dentistry in Kirkland, WA

    Procedure Duration

    Most in-office whitening treatments are completed in about an hour, while take-home kits typically provide results in one to two weeks.

    Schedule Online
  • Comfort Measures

    You may experience slight sensitivity during or after your teeth whitening treatment, but we use techniques and products that minimize discomfort.

    Contact Us

Professional Teeth Whitening in Kirkland, WA

You deserve a smile that lights up the room. Our professional teeth whitening treatments are safe, effective and designed to bring out your natural brilliance—with comfort and care at every step.

Whether you’re prepping for a big event or want a brighter smile, our teeth whitening options are customized to fit your needs and comfort. Using trusted, professional-grade solutions, we target stains from coffee, wine, tobacco, and aging—safely restoring your teeth’s natural vibrancy. You’ll leave with a smile that not only looks amazing but feels healthy, too.

Our team offers professional in-office teeth whitening and customized take-home whitening trays. Both are excellent ways to achieve a brighter smile, but we’ll discuss which option suits your particular goals and needs.

 

20% Off KoR Teeth Whitening Special

Brighten your smile this spring with 20% off our KoR teeth whitening, which delivers long-lasting results and a noticeably whiter, healthier-looking smile. All patients are eligible, valid through June 30th, 2026, for services paid in full on the day of service.

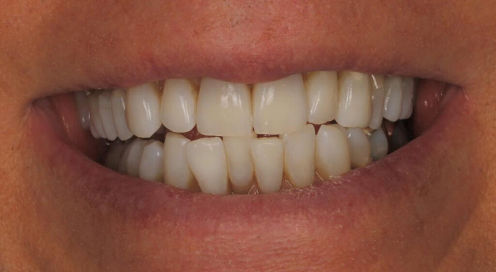
Before

Before KOR Teeth Whitening in Kirkland, WA, at Mason & Chi Dentistry

After

After KOR Teeth Whitening in Kirkland, WA, at Mason & Chi Dentistry

01.

How does professional in-office whitening work?

In-office teeth whitening is a safe, fast and effective cosmetic dental procedure that a licensed professional performs. A high-concentration whitening gel—usually hydrogen peroxide or carbamide peroxide—is carefully applied to your teeth during the treatment. A special LED or laser light may enhance results and activate the gel.

The process typically takes about 60 to 90 minutes and can lighten teeth several shades in a single visit. It’s ideal for those seeking immediate, noticeable results. Our team ensures your comfort throughout, protecting your gums and customizing treatment to your needs for a brighter, more confident smile.

02.

How do customized take-home whitening trays work?

Take-home teeth whitening trays offer patients a safe, convenient way to brighten their smile from home. Custom-made by your dental provider, these trays fit snugly over your teeth and are filled with a professional-grade whitening gel. Patients typically wear them for a specified amount each day, often throughout one to two weeks. The gel gently lifts surface stains caused by coffee, tea, tobacco or aging, without damaging enamel.

This process allows for gradual, controlled whitening tailored to your sensitivity and goals—bringing brighter results with the reassurance of professional oversight and support.

FAQ

  • How long do teeth whitening results last?

    Teeth whitening results typically last six months to two years, depending on lifestyle and oral care habits. Regular brushing, minimal stain-causing foods or drinks, and occasional touch-ups allow you to enjoy a bright, confident smile for longer.

  • How many professional teeth whitening sessions do I need?

    Most patients need one to three professional teeth whitening sessions to achieve their desired results. However, this can vary based on individual tooth shade, goals and type of treatment. We will personalize the plan to ensure safe, effective outcomes.

  • How often should I get teeth whitening done?

    Teeth whitening is typically recommended every 6 to 12 months, depending on your lifestyle and oral health. Regular cleanings and mindful habits can help maintain your results. Consult our team for a safe, personalized schedule for your unique smile.

Where are we located?

Front office of Manson & Chi Dentistry in Kirkland, WA

Manson & Chi Dentistry

9750 NE 120th Place, Suite 7
Kirkland, WA 98034

Hours

Monday-Wednesday: 8:00 a.m.-5:00 p.m.
Thursday-Friday: 7:00 a.m.-4:00 p.m.
Saturday-Sunday: Closed

Phones are answered 24/7 for scheduling.

Scheduling Hours

Monday: 24 hours
Tuesday: 24 hours
Wednesday: 24 hours
Thursday: 24 hours
Friday: 24 hours
Saturday: 24 hours
Sunday: 24 hours

Phone

425-823-1909

Email

office@mansonandchidentistry.com